Invisalign®
Home » Treatments » Orthodontics » Invisalign®
Free consultations available!
We offer FREE face to face or virtual consultations with our friendly treatment coordinator.

Invisalign treatment in Southsea, Portsmouth
Straighten your teeth with clear, comfortable aligners. Invisalign® uses multiple sets of aligners that gradually move your teeth to the desired position.
Adult Orthodontics are more popular than ever thanks to more subtle methods of straightening teeth. When we think of braces, we no longer picture wires and metal brackets. Invisalign revolutionised orthodontics with its clear, removable aligners that are near invisible and very comfortable.
How does Invisalign work?
This discreet orthodontic technique uses a series of custom-made aligners to gradually move your teeth into a new improved position. Invisalign can be used for most cases; crowding, gaps, uneven smiles and more. As it is a less noticeable way to straighten your teeth, it is suitable for adults or teenagers who may feel self-conscious about wearing other types of braces.
Invisalign braces are especially loved by teenagers as they are almost invisible, the aligners don’t break as easy as other braces and teeth can be cleaned just as normal. So many of our patients ask us about them and they’re so pleased when even their family don’t notice they have them in!
Invisalign braces are fitted on an individual basis. At Clarendon Dental, we use state of the art iTero scanner to scan your teeth to create a bespoke appliance adapted to you. These innovative aligners can also be taken out, so you can maintain your oral hygiene as normal, eat whatever you choose and remove them for special occasions.
How long does Invisalign treatment take?
Treatment times can vary but most cases are usually completed within 6-12 months. However, you do have to be sure to wear the aligners for 20-22 hours per day to benefit from successful and speedy results. You will also need to wear a retainer following treatment to keep your newly aligned teeth straight.
Why Choose Invisalign?
- Comfortable
Everything about Invisalign has been designed with comfort in mind. The accurate and precise impressions promise a secure fit and the careful gum-line trim ensures comfort. - Discreet
When choosing to have a cosmetic treatment like orthodontics, it makes sense that it should be aesthetically pleasing. Invisalign appliances are made from a clear plastic that is durable and hardly noticeable when worn. - Removable
Because Invisalign is removable, you can eat and drink the same foods you did before. You simply take them out when you eat, clean your teeth and then pop them back on. - Minimally invasive
Invisalign is a gradual and gentle treatment. You barely feel anything as it works through applying small amounts of force on the teeth that need to be straightened. - Innovative
Invisalign uses cutting edge technology in every step of its creation – from the 3D scanning used to capture accurate impressions of your teeth to the SmartTrack material specially engineered to straighten teeth with maximum comfort.
Discreet straightening for younger smiles with Invisalign Teen
Younger patients can now access virtually invisible teeth straightening treatment at Clarendon Dental with Invisalign Teen. It has all the benefits of Invisalign treatment, but is specifically designed for teenagers, taking into account their dental needs and lifestyle to achieve an incredible result. The clear aligners are virtually invisible in the mouth, perfect for image-conscious teens who are put off by traditional metal braces.
Invisalign Teen gives flexibility and comfort to the straightening journey. The aligners are easy to wear, and can be removed for eating, drinking, brushing, contact sport and for playing some musical instruments. The treatment will be most effective if the clear aligners are worn for 22 hours per day. We can add wear indicators to help your teen keep their treatment on track, and monitor their progress at regular appointments to ensure we achieve the best result.
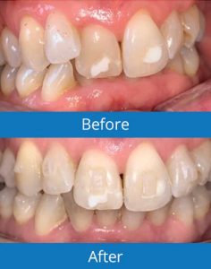
Before and after Invisalign
Teeth straightening completed in just 7 months


5 months of Invisalign treatment
Invisalign progress after just 5 months, with a little while longer to go


Before and after Invisalign
Invisalign teeth straightening treatment for Alison is progressing well after a break during lockdown.


Kind and professional team. I had Invisalign treatment from Dr Skjalg and Elena. I have the smile what I always wanted 🙂
Invisalign FAQs
How does Invisalign work compared to traditional braces?
Invisalign is a clear alternative to fixed braces, using a series of virtually invisible, removable aligners to straighten your teeth in comfort without any metal brackets or wires digging in and irritating your mouth. It is extremely easy to use, with the custom-made aligners gradually moving the positions of your teeth across the course of your treatment. They are not fixed to your teeth permanently as fixed braces are.
Invisalign uses modern digital technology throughout your treatment process, including accurate 3D scans, ClinCheck software, which provides a preview of your smile and SmartTrack material to create comfortable and innovative aligners.
What are the benefits of choosing Invisalign?
Invisalign fits seamlessly into your life, requiring no changes to your usual routines, diet, or lifestyle. The clear aligners are designed with aesthetics and comfort in mind and are virtually invisible when worn with no metal or sharp wires to irritate your skin. The aligners are completely removable, allowing you to eat and drink whatever you choose. Invisalign can be used to correct various orthodontic issues.
How long does Invisalign treatment usually take?
Treatment length varies from case to case, but most Invisalign treatments are completed in9-18 months. Straightforward cases have a faster treatment time, whilst patients needing more complex straightening can expect to wear their aligners for longer. We can advise you of your expected treatment time after your initial consultation.
Are Invisalign aligners comfortable to wear?
Yes, Invisalign aligners have been designed with comfort in mind, enabling you to wear them for up to 22 hours a day. They fit snugly over the teeth and have no metal brackets or wires to irritate the skin. Accurate and precise scans promise a secure, comfortable fit.
Can I remove the Invisalign aligners for eating?
Invisalign’s aligners are completely removable, allowing you to eat and drink whatever you choose and maintain your oral hygiene routines at home.
Will Invisalign affect my speech?
You may find your speech is slightly different initially as you get used to the feel of the Invisalign aligners in your mouth. However, this will soon improve and return to normal, allowing you to speak clearly, and confidently once more.
Is Invisalign suitable for all teeth alignment issues?
Invisalign creates incredible results using gradual and gentle forces to move the positions of your teeth and correct issues, including misalignment and gaps, effectively, and efficiently. Invisalign can help with a range of orthodontic issues, including crowding, misalignment, gaps and incorrect bites.
How often do I need to visit the dentist during Invisalign treatment?
We will monitor progress and arrange review appointments in practice at different stages of your treatment plan. As a rough guide, people undergoing Invisalign treatment, typically need to visit their dentist every 6 to 10 weeks.
What is the average cost of Invisalign treatment?
The cost of treatment depends on each individual case, with complex cases needing more aligners and therefore are more expensive. We can give you an exact treatment cost based on the examination and assessment we carry out during your initial consultation. We also offer payment plans and finance options to help you spread the cost of treatment.
How do I clean and maintain my Invisalign aligners?
You can use a toothbrush and water to clean your aligner. Don’t use boiling water, as it will warp it. Usually, by the time the aligner is getting a little tired or stained, it’s time to start using your new one anyway.




